Omuz Osteokonditis Dissekansı
Genel Bakış
Osteokondiritis Dissekans (OCD) eklem yüzeyinde oluşan bir lezyon olarak tanımlanabilir. OCD genellikle genç ve büyük ırk köpeklerde görülür. Omuz OCD’sinde lezyon genellikle humerus başının arka yüzeyinde görülür. Aslında lezyon, genellikle kıkırdakta yetersiz olgunlaşmaya bağlıdır. Bu gelişim bozukluğu sonucu bölgedeki kıkırdak hücreleri canlılığını yitirir ve bir süre sonra bir tür zayıf ve kalınlaşmış kıkırdak yapısı meydana gelir. Bu dayanıksız yapı eklemde uyumsuzluğa sebep olur ve bir süre sonra çatlayarak parçalanır. Oluşan yırtık kıkırdak parçası (flep) hastalığın OCD’ye dönüşmenisinin son aşamasıdır.OCD şiddetli ağrı ve işlev bozukluğuna sebep olan bir hastalıktır. Bazen flep eklemin yarısını kaplayabilecek büyüklükte bile olabilir. Tamamen serbestleşen flepler eklemin içinde serbest hale gelerek Eklem Farelerini oluşturabilir.
OCD ırka bağlı faktörlerden meydana gelebileceği gibi, hızlı büyüme, aşırı protein içeren beslemeler ve travma gibi faktörlerle de oluşabilir. Erkek köpeklerde daha fazla görülür.
Semptomlar
Belirtiler genellikle köpek dört ila sekiz aylıkken ortaya çıkar. Köpekler genellikle ön ayaklarından birinde topallamaya başlar. Birçok durumda, topallama dinlenmeden sonra düzelir ve egzersizden sonra kötüleşir. Evcil hayvanınız yalnızca bir bacağında topal olsa da, bu durum diğer bacakta da mevcut olabilir.

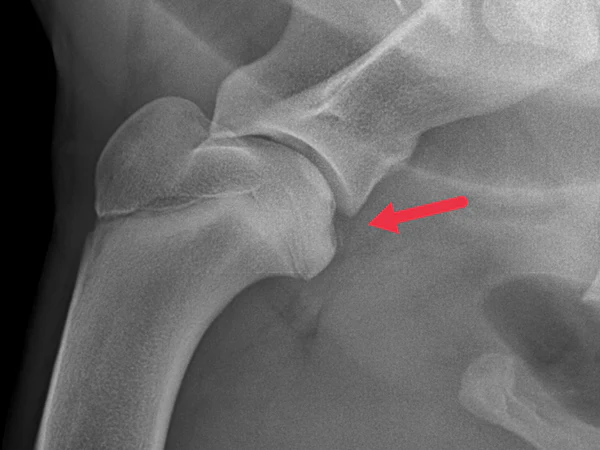
Tanı
OCD tanısı röntgen, tomografi, MRG ve artroskopi ile koyulabilir. Fakat genellikle uzman bir göz tarafından yalnızca röntgen grafilerine bakılarak diğer tetkiklere ihtiyaç duymadan tanı koyulabilecektir. Yalnızca tek tarafta topallık olsa bile diğer omzun da grafilerinin alınması büyük önem taşır. Çünkü genetik faktörlere bağlı OCD her iki tarafta da olabilir. Genellikle gecikilmiş kronik olgularda eklem fareleri, ve ileri derecede osteoartrit görülür.



Tedavi
İlaç tedavisine cevap vermeyen olgularda cerrahi tedavi kaçınılmaz olacaktır. Cerrahi tedavi, hasarlı kıkırdak flebinin çıkarılması ile yapılır. Hastalıklı dokuların eklemden çıkarılması sonucu sağlıklı dokunun kendini onaramayacağı durumlarda eklem içine otogreft (hastanın kendisinden kıkırdak nakli) uyguluyoruz.